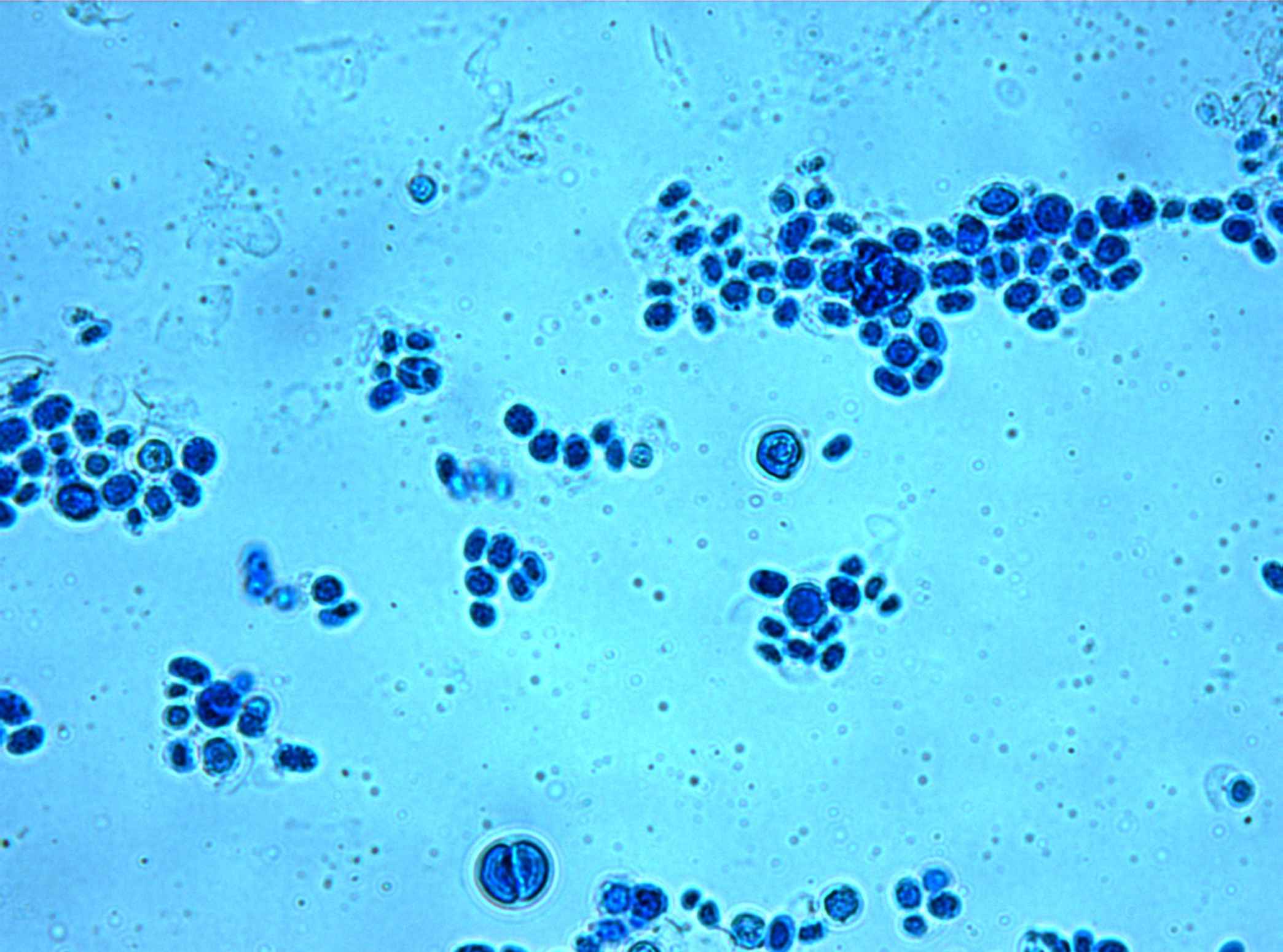
Micrographs of Prototheca spec.
stained with lactophenole cotton blue (LCB),
40 x magnification,
grown on Sabouraud dextrose agar at 28°C for 96 h
Prototheca zopfii Genotype 1

Prototheca zopfii Genotype 2

Prototheca blaschkeae

Prototheca wickerhamii

Prototheca stagnora

Prototheca ulmea
